Bezśrubowe implanty to nowoczesne rozwiązanie w dziedzinie stomatologii, które zyskuje coraz większą popularność. W przeciwieństwie do tradycyjnych implantów, które wymagają użycia śrub do mocowania, bezśrubowe implanty są projektowane w taki sposób, aby mogły być osadzone w kości szczęki bez dodatkowych elementów mocujących. To innowacyjne podejście ma na celu uproszczenie procesu wszczepienia oraz zwiększenie komfortu pacjenta. Bezśrubowe systemy implantologiczne opierają się na specjalnych mechanizmach, które pozwalają na stabilne osadzenie implantu w kości, eliminując potrzebę stosowania śrub. Dzięki temu proces gojenia jest szybszy i mniej inwazyjny, co jest korzystne zarówno dla pacjentów, jak i dla lekarzy. Warto zaznaczyć, że technologia ta jest stale rozwijana, a badania nad jej skutecznością i bezpieczeństwem trwają.
Jakie są zalety bezśrubowych implantów dentystycznych
Bezśrubowe implanty dentystyczne oferują szereg korzyści, które przyciągają uwagę zarówno pacjentów, jak i specjalistów w dziedzinie stomatologii. Przede wszystkim ich główną zaletą jest uproszczony proces wszczepienia, który nie wymaga użycia dodatkowych elementów mocujących. Dzięki temu zabieg staje się mniej inwazyjny, co przekłada się na mniejsze ryzyko powikłań oraz szybszy czas rekonwalescencji. Pacjenci często zgłaszają mniejszy dyskomfort po zabiegu oraz krótszy czas gojenia w porównaniu do tradycyjnych metod. Kolejną istotną zaletą jest estetyka – bezśrubowe implanty mogą być lepiej dopasowane do naturalnego kształtu zębów, co wpływa na ich wygląd. Dodatkowo, brak śrub eliminuje ryzyko ich poluzowania czy złamania, co może zdarzyć się w przypadku tradycyjnych rozwiązań. Warto również wspomnieć o możliwości szybkiej rehabilitacji protetycznej, co oznacza, że pacjenci mogą cieszyć się nowymi zębami w krótszym czasie.
Czy bezśrubowe implanty są odpowiednie dla każdego pacjenta

Decyzja o zastosowaniu bezśrubowych implantów dentystycznych nie zawsze jest jednoznaczna i zależy od wielu czynników związanych z indywidualnym stanem zdrowia pacjenta oraz jego oczekiwaniami. Przed przystąpieniem do zabiegu lekarz przeprowadza szczegółową ocenę stanu jamy ustnej oraz ogólnego zdrowia pacjenta. Ważne jest, aby kość szczęki była wystarczająco mocna i gęsta, aby pomieścić implant bez dodatkowego wsparcia ze strony śrub. U niektórych pacjentów mogą występować przeciwwskazania do wszczepienia takich implantów, na przykład choroby przyzębia czy niewłaściwe nawyki higieniczne. Ponadto osoby cierpiące na schorzenia ogólnoustrojowe mogą wymagać szczególnej uwagi przed podjęciem decyzji o leczeniu implantologicznym. Dlatego kluczowym krokiem jest konsultacja ze specjalistą, który oceni możliwość zastosowania bezśrubowych rozwiązań w danym przypadku.
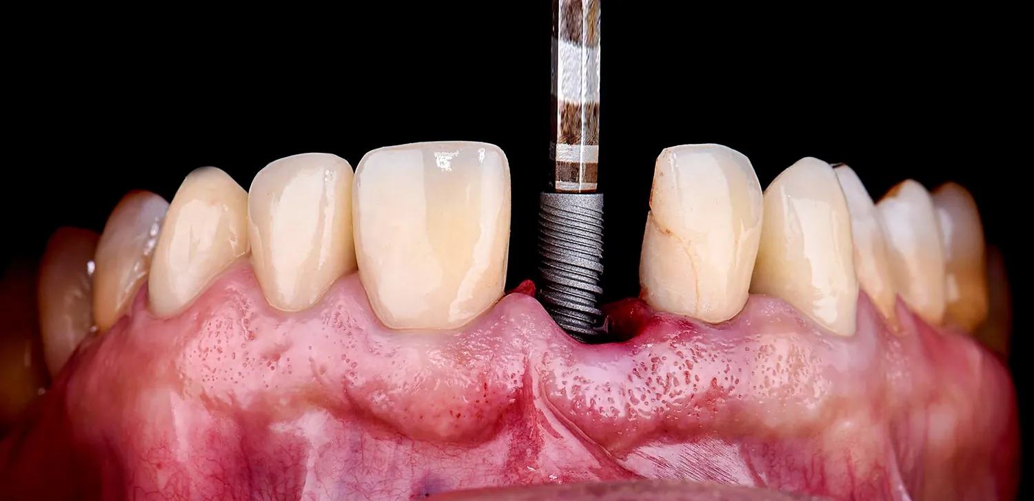
Jak przebiega proces zakupu i wszczepienia bezśrubowych implantów
Proces zakupu i wszczepienia bezśrubowych implantów dentystycznych składa się z kilku kluczowych etapów, które mają na celu zapewnienie bezpieczeństwa oraz skuteczności leczenia. Pierwszym krokiem jest konsultacja ze specjalistą stomatologiem lub chirurgiem szczękowym, który oceni stan zdrowia jamy ustnej oraz zaproponuje odpowiednie rozwiązania. Po przeprowadzeniu niezbędnych badań diagnostycznych lekarz podejmie decyzję o możliwości zastosowania bezśrubowych implantów. Następnie następuje etap planowania zabiegu – lekarz przygotowuje indywidualny plan leczenia oraz omawia go z pacjentem. Po zaakceptowaniu planu następuje właściwe wszczepienie implantu, które odbywa się w znieczuleniu miejscowym lub ogólnym w zależności od potrzeb pacjenta oraz skomplikowania zabiegu. Po zakończeniu procedury lekarz udziela wskazówek dotyczących pielęgnacji miejsca wszczepienia oraz umawia wizyty kontrolne w celu monitorowania procesu gojenia.
Jakie są najnowsze osiągnięcia w technologii bezśrubowych implantów
Technologia bezśrubowych implantów dentystycznych rozwija się w szybkim tempie, a nowe osiągnięcia w tej dziedzinie przynoszą pacjentom coraz lepsze rezultaty oraz większy komfort. W ostatnich latach pojawiły się innowacyjne materiały i techniki, które zwiększają stabilność implantów oraz ich integrację z kością. Przykładem mogą być implanty wykonane z zaawansowanych stopów tytanu, które charakteryzują się doskonałą biokompatybilnością oraz odpornością na korozję. Dzięki tym właściwościom implanty te są w stanie lepiej współpracować z tkankami kostnymi, co przyspiesza proces gojenia i poprawia trwałość całego systemu. Kolejnym istotnym osiągnięciem jest zastosowanie technologii cyfrowej w planowaniu zabiegów. Dzięki skanowaniu 3D oraz oprogramowaniu do symulacji, lekarze mogą precyzyjnie zaplanować miejsce wszczepienia implantu oraz dostosować jego kształt do indywidualnych potrzeb pacjenta. To podejście minimalizuje ryzyko błędów podczas zabiegu oraz zwiększa szanse na sukces leczenia. Warto również wspomnieć o rozwoju technik regeneracji tkanki kostnej, które pozwalają na skuteczne przygotowanie miejsca do wszczepienia implantu u pacjentów z niedoborem kości.
Jakie są koszty związane z bezśrubowymi implantami dentystycznymi
Koszty związane z bezśrubowymi implantami dentystycznymi mogą się znacznie różnić w zależności od wielu czynników, takich jak lokalizacja gabinetu stomatologicznego, doświadczenie lekarza oraz zastosowane materiały i technologie. Na ogół cena jednego implantu może wynosić od kilku do kilkunastu tysięcy złotych, co często obejmuje zarówno koszt samego implantu, jak i zabiegu chirurgicznego oraz wizyt kontrolnych. Warto zaznaczyć, że chociaż początkowe wydatki mogą być wyższe niż w przypadku tradycyjnych implantów, to długoterminowe korzyści zdrowotne oraz estetyczne mogą przewyższać te koszty. Dodatkowo wiele klinik oferuje różne opcje finansowania lub płatności ratalne, co może ułatwić pacjentom podjęcie decyzji o leczeniu. Należy również pamiętać, że niektóre ubezpieczenia zdrowotne mogą pokrywać część kosztów związanych z wszczepieniem implantu, dlatego warto skonsultować się z ubezpieczycielem przed rozpoczęciem leczenia.
Jak dbać o bezśrubowe implanty po ich wszczepieniu
Prawidłowa pielęgnacja bezśrubowych implantów po ich wszczepieniu jest kluczowa dla zapewnienia ich trwałości oraz zdrowia jamy ustnej. Po zakończeniu zabiegu lekarz zazwyczaj udziela szczegółowych wskazówek dotyczących higieny jamy ustnej oraz diety. Ważne jest, aby unikać twardych pokarmów przez kilka pierwszych dni po zabiegu, aby nie obciążać nowego implantu. Regularne szczotkowanie zębów oraz stosowanie nici dentystycznej są niezbędne do utrzymania czystości wokół implantu i zapobiegania stanom zapalnym czy infekcjom. Pacjenci powinni również regularnie odwiedzać swojego stomatologa na wizyty kontrolne, które pozwolą na monitorowanie stanu implantu oraz otaczających go tkanek. W przypadku wystąpienia jakichkolwiek niepokojących objawów, takich jak ból czy obrzęk, należy jak najszybciej zgłosić się do lekarza. Dbanie o zdrową dietę bogatą w witaminy i minerały również ma znaczenie dla procesu gojenia i integracji implantu z kością.
Jakie są opinie pacjentów na temat bezśrubowych implantów
Opinie pacjentów na temat bezśrubowych implantów dentystycznych są zazwyczaj pozytywne, a wiele osób podkreśla liczne korzyści płynące z tego rozwiązania. Pacjenci często zwracają uwagę na komfort podczas zabiegu oraz szybszy czas rekonwalescencji w porównaniu do tradycyjnych metod wszczepiania implantów. Osoby korzystające z bezśrubowych rozwiązań chwalą sobie również estetykę – implanty te często wyglądają bardziej naturalnie i lepiej komponują się z pozostałymi zębami. Wiele osób zauważa także mniejsze ryzyko powikłań pooperacyjnych oraz mniejszy dyskomfort po zabiegu. Oczywiście każdy przypadek jest inny i niektórzy pacjenci mogą mieć różne doświadczenia związane z leczeniem implantologicznym. Dlatego ważne jest, aby przed podjęciem decyzji o wszczepieniu implantu skonsultować się ze specjalistą oraz dokładnie omówić swoje oczekiwania i obawy.
Czy bezśrubowe implanty mają jakieś ograniczenia
Bezśrubowe implanty dentystyczne to nowoczesna technologia, która ma wiele zalet, ale również pewne ograniczenia, które warto znać przed podjęciem decyzji o ich zastosowaniu. Jednym z głównych ograniczeń jest konieczność posiadania odpowiedniej ilości i jakości tkanki kostnej w miejscu wszczepienia implantu. U pacjentów z niedoborem kości może być konieczne przeprowadzenie dodatkowych procedur regeneracyjnych przed wszczepieniem implantu, co może wydłużyć czas leczenia i zwiększyć jego koszty. Ponadto nie każdy pacjent będzie odpowiedni do zastosowania bezśrubowych rozwiązań; osoby cierpiące na choroby przyzębia czy inne schorzenia jamy ustnej mogą wymagać szczególnej uwagi przed podjęciem decyzji o leczeniu implantologicznym. Kolejnym ograniczeniem może być technologia sama w sobie – mimo że rozwija się ona dynamicznie, to nadal istnieją pewne aspekty wymagające dalszych badań i udoskonaleń.
Jakie są przyszłe kierunki rozwoju technologii bezśrubowych implantów
Przyszłość technologii bezśrubowych implantów dentystycznych wydaje się obiecująca dzięki ciągłemu postępowi w dziedzinie materiałoznawstwa oraz technologii medycznej. W miarę jak badania nad biokompatybilnością nowych materiałów postępują, możemy spodziewać się jeszcze lepszej integracji implantów z kością oraz dłuższej trwałości produktów dostępnych na rynku. Również rozwój technologii cyfrowych ma ogromny wpływ na sposób planowania zabiegów – coraz częściej stosowane są skanery 3D oraz programy komputerowe umożliwiające dokładniejsze dopasowanie implantu do indywidualnych potrzeb pacjenta. Możliwe jest także wykorzystanie sztucznej inteligencji w diagnostyce i planowaniu leczenia, co może przyspieszyć proces podejmowania decyzji przez lekarzy oraz zwiększyć bezpieczeństwo zabiegów. Innowacyjne metody regeneracji tkanki kostnej również będą miały kluczowe znaczenie dla przyszłości implantologii – dzięki nim nawet pacjenci z niedoborem kości będą mogli korzystać z nowoczesnych rozwiązań bezśrubowych.





